Skip to content
LS Regeneration
Menu
Close
Courses/ Dates
Simultaneous GBR/Socket handout
3D Bone Augmentation
Anterior maxillary bone and soft tissue Regeneration
Intensive bone and soft tissue augmentation course
Gallery
Lectures
Application Form
Contact
Privacy Notice
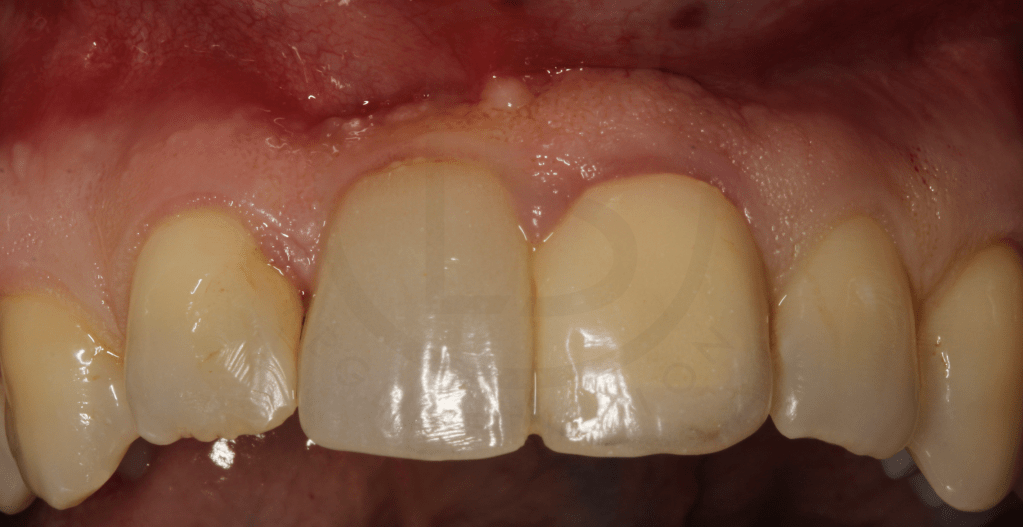
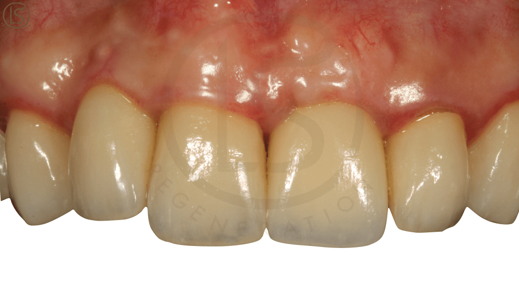
Gallery
LS Regeneration
Sign up
Log in
Copy shortlink
Report this content
Manage subscriptions